Hình ảnh bọc răng sứ - Nha khoa Peace Dentistry - Ca 18
Bs nha khoa Peace Dentistry
5 năm trước
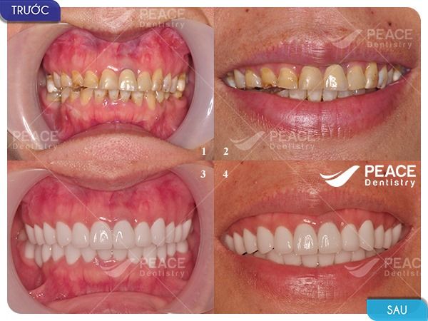
Trước điều trị:
- Răng tối màu, mòn men răng, mòn cổ chân răng, một số răng bị sâu
- Khách đã làm 1 răng sứ và có trám composite cho một số răng
- Mất răng 46
⛔️Than phiền chính yếu: tình trạng răng tối màu từ đó làm cho khách hàng cảm thấy ái ngại trong giao tiếp. Răng thường ê buốt đặc biệt khi ăn các thực phẩm nóng, lạnh. Ngoài ra, hay bị viêm lợi, chảy máu chân răng.
Mong muốn của KH:
- Hàm răng mới trắng sáng ấn tượng nhưng phải đảm bảo nhìn vẫn tự nhiên, thẩm mỹ răng hài hòa với khuôn mặt, nụ cười đẹp hơn.
- Khôi phục 1 răng bị mất, khắc phục các hiện tượng hay đau ê răng thường xuyên.
- Bền và ăn uống thoải mái.
Chỉ định:
- Bọc 24 răng sứ: Hàm trên 12 (R16 – R26) + hàm dưới 10 (R36 – R46), kết hợp làm cầu răng sứ (crown & bridge) khôi phục răng 46.
- Vật liệu Sứ: Zirconia Ceramill Zolid CAD/CAM (made in Germany), bảo hành IDPI 10 năm.
- Màu răng: OM1
- Thời gian: 8 ngày, 4 lần đến nha khoa
Kết quả sau điều trị:
- Hàm răng mới với khớp cắn chuẩn, cung răng đều, màu răng trắng sáng tự nhiên
- Răng hài hòa thẩm mỹ với các đặc điểm: nướu, khuôn miệng, khuôn mặt, màu da nên nụ cười đẹp tự nhiên.
- Cảm giác răng miệng thoải mái, sức nhai tốt, cảm giác ăn nhai tốt.
- Đặc biệt, sau khi làm thẩm mỹ răng sứ, khách hàng tình trang ê buốt khi ăn uống thực phẩm nóng/lạnh đã không còn.




