Dòng thời gian
Bs nha khoa Thái Tổ
6 năm trước
Chia sẻ
Trồng Răng Implant
CẤY GHÉP IMPLANT - GIẢI PHÁP HOÀN HẢO CHO NGƯỜI BỊ MẤT RĂNG
Bs nha khoa Thái Tổ
6 năm trước
Chia sẻ
Niềng Răng Invisalign
NIỀNG RĂNG TRONG SUỐT- GIẢI PHÓNG NỤ CƯỜI
Bs nha khoa Thái Tổ
6 năm trước
Chia sẻ
Tẩy Trắng Răng
LỢI ÍCH CỦA VIỆC THĂM KHÁM SỨC KHỎE RĂNG MIỆNG ĐỊNH KÌ:
Bs nha khoa Thái Tổ
6 năm trước
Chia sẻ
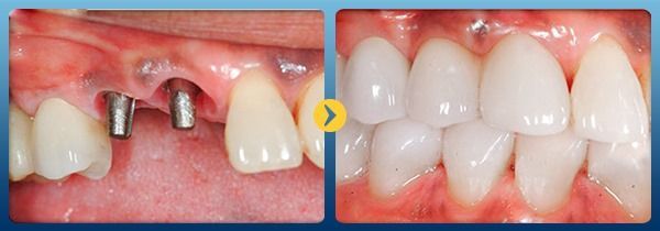
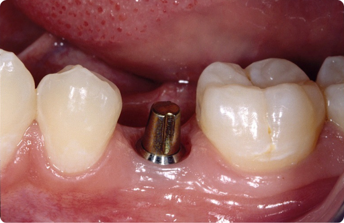
Trồng Răng Implant
VÌ SAO MẤT 3 RĂNG LIỀN KỀ CHỈ CẦN CẤY 2 TRỤ IMPLANT
Bs nha khoa Thái Tổ
6 năm trước
Chia sẻ
Kỹ Thuật Thẩm Mỹ




