Blog chuyên gia
Các bài viết của bác sĩ và phòng khám thẩm mỹ
4 cách làm trắng răng hiệu quả tại nhà - Nha khoa Đăng Lưu
4 cách làm trắng răng hiệu quả tại nhà ♦ Cách làm trắng răng hiệu quả từ dâu tây Các bạn hoàn toàn có thể nói lời tạm biệt với hàm răng ố màu...
Bài thuốc chữa đau nhức răng cấp tốc tại nhà - Nha khoa Đăng Lưu
Các mẹo chữa đau nhức răng bằng các nguyên liệu thiên nhiên dễ kiếm có thể giúp bạn nhanh thoát khỏi khó chịu do sâu răng, viêm nhiễm quanh răng, nướu,… gây ra....
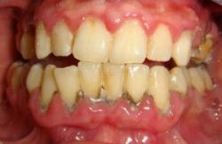
Viêm lợi có mủ và nguyên nhân gây bệnh viêm lợi có mủ - Nha khoa Đăng Lưu
Viêm lợi có mủ và nguyên nhân gây bệnh viêm lợi có mủ Bệnh viêm lợi có mủ là bệnh gì ? Tuy là bệnh thường gặp nhưng không phải ai cũng nắm rõ về bệnh...
Cách nhận biết viêm lợi có mủ - Nha khoa Đăng Lưu
Cách nhận biết viêm lợi có mủ Muốn có cách trị bệnh viêm lợi có mủ nhanh thì bạn không nên bỏ qua bước chuẩn đoán bệnh, có thể nhận biết bệnh dễ...
Răng mọc chậm để lâu dễ biến chứng - Nha khoa Đăng Lưu
Răng mọc chậm để lâu dễ biến chứng Nhiều bậc phụ huynh vẫn ung dung khi thấy con mình không mọc răng mới sau 6-12 tháng nhổ răng sữa. Họ cứ nghĩ răng mọc...
Chậm mọc răng và bệnh còi xương ở trẻ - Nha khoa Đăng Lưu
Chậm mọc răng và bệnh còi xương ở trẻ Trẻ sinh đủ tháng sẽ có răng sớm hơn so với bé sinh thiếu tháng. Những em bé sinh thiếu tháng, nhẹ cân cũng sẽ mọc...
Miếng dán sứ - Nha khoa Đăng Lưu
Ưu điểm của miếng dán sứ Miếng dán sứ được chế tạo từ các miếng mỏng sứ, khi veneer đính liền với mặt trước của răng, chúng trở nên vô cùng bền bỉ và mạnh...
Lí do khiến trẻ chậm mọc răng sữa - Nha khoa Đăng Lưu
Lí do khiến trẻ chậm mọc răng sữa 1.Yếu tố dinh dưỡng Đối với trẻ dinh dưỡng gần như quyết định sự phát triển toàn diện của cơ thể, không chỉ hệ răng mà...
Răng không sâu nhưng có cảm giác ê buốt - Nha khoa Đăng Lưu
Răng không sâu nhưng có cảm giác ê buốt Răng ê buốt thường xảy ra bởi ngà răng ở vùng chân răng bị lộ do tụt nướu hoặc do bệnh nha chu. Đây là hiện tượng...
Nguyên nhân khiến răng trở nên nhạy cảm - Nha khoa Đăng Lưu
Nguyên nhân khiến răng trở nên nhạy cảm Răng nhạy cảm hay còn gọi là răng ê buốt là cách gọi thông thường của tình trạng quá cảm ngà hoặc triệu chứng ê...
Răng thôi không còn ê buốt - Nha khoa Đăng Lưu
Răng thôi không còn ê buốt Răng của chúng ta được bao bọc bởi hai vệ sỹ chính là men răng và nướu, giúp bảo vệ răng khỏi các tác động từ môi trường bên...
Biện pháp cải thiện vấn đề răng miệng ê buốt - Nha khoa Đăng Lưu
Đừng để răng ê buốt ảnh hưởng đến sức khỏe răng miệng và làm giảm chất lượng cuộc sống của bạn. Dưới đây là những biện pháp cải thiện vấn đề răng miệng ê...
Nguyên nhân không ngờ khiến răng bị ê buốt - Nha khoa Đăng Lưu
Nguyên nhân không ngờ khiến răng bị ê buốt Ít người biết rằng chính những thói quen sống hàng ngày có thể dẫn đến tình trạng răng nhạy cảm hay còn gọi là ê...
Chăm sóc miệng và những điều nên biết - Nha khoa Đăng Lưu
Nhiều trường hợp có thể gây biến chứng nguy hiểm như tim mạch hoặc đột quỵ…Vì thế cần phải chăm sóc miệng và những điều nên biết cần tìm hiểu kỹ không bao...
Khánh Thy xinh đẹp hơn nhờ niềng răng - Nha khoa Đăng Lưu
Khánh Thy xinh đẹp hơn nhờ niềng răng Hình ảnh lúc nhỏ và khi mới bước chân vào con đường Dance Sport, Khánh Thy thật sự chưa được nổi bật khi sở hữu một...
Những mỹ nhân Hàn từng thẩm mỹ răng miệng - Nha khoa Đăng Lưu
Sẽ có nhiều hình ảnh thuở thiếu thời của các sao khiến bạn ngạc nhiên với khuôn miệng “kém duyên”…Dưới đây là một số trong số những mỹ nhân Hàn từng thẩm mỹ...
Kim Tae Hee lột xác nhờ niềng răng - Nha khoa Đăng Lưu
Mặc dù sở hữu gương mặt đẹp nhưng Kim Tae Hee thừa nhận để có nét đẹp của cô đã từng nhờ đến thẩm mỹ niềng răng để sở hữu nụ cười “không tỳ vết” như hiện...
Phạm Băng Băng cuốn hút hơn nhờ niềng răng chỉnh nha - Nha khoa Đăng Lưu
Ai cũng trầm trồ khen ngợi nhan sắc “chim sa cá lặn” của nàng. Nhưng trước khi có được hàm răng trắng sáng, thẳng tắp như hiện nay, Phạm từng có bộ răng...
Răng đẹp cần đạt những tiêu chuẩn nào - Nha khoa Đăng Lưu
Răng – tóc là “một góc con người” – câu nói như đã thành “cửa miệng” này ngày càng đúng với cuộc sống hiện đại. Hàm răng đẹp chính là vũ khí...
4 nguyên nhân khiến răng trở nên nhạy cảm - Nha khoa Đăng Lưu
Tuy nhiên nhiều người không biết nguyên nhân khiến răng trở nên nhạy cảm, để có những biện pháp phòng tránh kịp thời và ngăn ngừa tái phát. Sau đây là 4 nguyên...





