Blog chuyên gia
Các bài viết của bác sĩ và phòng khám thẩm mỹ
Nếu bạn là nam giới còn đang băn khoăn: NÊN HAY KHÔNG CẮT MẮT 2 MÍ thì đừng bỏ qua bài viết này nhé!
>>> Ai bảo chỉ có phụ nữ mới có quyền làm đẹp, đàn ông cũng có thể lắm chứ❗ Mắt đẹp 2 mí - Không cắt thì phí ơi là phí!!! Tạm biệt mắt 1 mí xưa kia, khách...
Phun mày SƯƠNG SƯƠNG thế này đã đủ làm chị em SAY ĐẮM.
?PHUN MÀY TẠO HẠT NATURE, DÁNG MÀY ĐẸP TỰ NHIÊN, HÀI HÒA VỚI GƯƠNG MẶT.
?Mực xăm 100% ORGANIC hữu cơ thiên nhiên.
?Không sưng - không đau - không...
"LÊN HƯƠNG" NHỜ CẮT MÍ THẨM MỸ ĐẸP XUẤT SẮC CÓ " 1 KHÔNG 2"
Không cần phải can thiệp hay chỉnh sửa quá nhiều, cô nàng đã chứng minh cho tất cả chúng ta thấy chỉ cần cắt mí cũng đã đủ để "LỘT XÁC" thành một người hoàn...
ĐẸP TỰ NHIÊN NHƯNG KHÔNG TỰ NHIÊN MÀ ĐẸP‼️
❤️ Là phụ nữ, ai cũng mong muốn mình được sở hữu một ngoại hình xinh đẹp, hấp dẫn. Nhưng nếu tạo hóa không ưu ái dành tặng cho bạn một nhan sắc đẹp thì hãy...
KHÔNG BAO GIỜ LÀ QUÁ MUỘN ĐỂ BẮT ĐẦU-KỂ CẢ NIỀNG RĂNG
Bạn có thể nhìn lại quá khứ và nói với chính mình: "Giá như ta làm điều đó thì giờ này có lẽ mọi thứ đã khác và tốt hơn". Nhưng bạn lại chẳng thể nào quay ngược...
Một nụ cười có thể thay đổi một ngày, một cái ôm có thể thay đổi một tuần, một lời nói có thể thay đổi một cuộc sống
Đằng sau mỗi câu chuyện niềng răng của mỗi người có muôn vàn lý do tích cực để bạn thay đổi cuộc sống hiện tại của mình: "điều trị bệnh lý về răng, đẹp hơn, tự...
CHĂM SÓC DA VÀ DÁNG LÀ CHƯA ĐỦ HÀM RĂNG TRẮNG SÁNG SẼ GIÚP BẠN TỎA SÁNG GẤP 10 LẦN
Qua ngay Parkway "thay áo mới cho răng" với 2 công nghệ Laser hiện đại nhất hiện nay:
? Tẩy trắng răng Zoom Laser dành cho răng nhạy cảm.
"CÔNG VIỆC YÊU CẦU GIAO TIẾP NHIỀU THÚC ĐẨY MÌNH ĐI NIỀNG RĂNG NGAY VÀ LUÔN"
? Sở hữu một ngoại hình xinh xắn nhưng khuyết điểm răng hô hàm trên cản trở Uyên rất nhiều trong quá trình giao tiếp với khách hàng.
♻️ Uyên...
ƯU ĐIỂM VƯỢT TRỘI CỦA NIỀNG RĂNG INVISALIGN
Invisalign là phương pháp niềng răng sử dụng công nghệ tối ưu nhất hiện nay. Hãy cùng Art Dentist điểm lại những ưu điểm của phương pháp niềng như không niềng...
9 DẤU HIỆU CỦA SÂU RĂNG
1. Độ nhạy cảm của răng tăng cao
2. Xuất hiện những đốm trắng đục trên răng
3. Xuất hiện lỗ sâu trên răng làm thức ăn bị giắt vào răng
NHỮNG KHÍA CẠNH ẢNH HƯỞNG TỚI THỜI GIAN NIỀNG RĂNG
Có nhiều trường hợp hai người bạn cùng đi niềng răng, bắt đầu cùng lúc thế nhưng sau 1 năm đã có kết quả cuối cùng, răng đều và đẹp vô cùng, người còn lại thì...
CƯỜI HỞ LỢI LÀ NHƯ THẾ NÀO
Cười hở lợi hay còn gọi là cười lộ nướu là một tình trạng hở lợi quá mức lúc cười, dẫn tới tình trạng mất thẩm mỹ. Về mặt nhân tướng học, thẩm mỹ học hay những...
Những thói quen tốt giúp bảo vệ sức khỏe răng miệng hiệu quả:
▶️ Dùng chỉ nha khoa:
Chỉ nha khoa sẽ là công cụ hữu hiệu giúp bạn làm sạch răng hiệu quả. Loại chỉ này có tác dụng làm sạch răng, loại bỏ những...
Bạn Nguyễn Trần Bảo Ngọc đến với Art trong tình trạng bị khớp cắn ngược, răng mọc chen chúc, lệch lạc.
▶️ Chỉ sau 18 tháng niềng răng tại Art Dentist, bạn Ngọc đã có thể tự tin nở nụ cười rạng rỡ với hàm răng đều, đẹp và khớp cắn chuẩn.
Chúc mừng bạn...
Phía sau một nụ cười đẹp Là một phương pháp thẩm mỹ an toàn
⚡️ Trọn vẹn với sứ mệnh thiết kế nụ cười đẹp, chúng tôi luôn chăm sóc sức khỏe răng miệng cho khách hàng như chính người thân của...
HẬU QUẢ ĐÁNG SỢ KHI BỊ MẤT RĂNG LÂU NGÀY
?Tiêu xương hàm, biến dạng khuôn mặt.
?Chức năng nhai suy giảm
?Thay đổi khớp cắn.
?Gây sâu răng
?Gây rối loạn thái dương...
HOÀN THIỆN RĂNG XINH - TỰ TIN LÀ CHÍNH MÌNH
?Kiến tạo nụ cười cho từng khách hàng tại nha_khoa_quốc_tế_HT_Smile không chỉ là một quy trình y khoa, đó còn là bộ môn nghệ thuật yêu cầu tính khéo...
NIỀNG RĂNG THAY ĐỔI NHỮNG GÌ MÀ KHIẾN BẠN ĐẸP HƠN
Niềng răng có tác động đến độ rộng hẹp và to nhỏ của khuôn miệng nên đương nhiên sẽ ảnh hưởng đến diện mạo của khuôn mặt nói chung. Hầu hết những người hoàn...
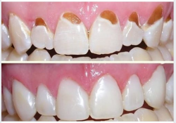
TRÁM RĂNG THẨM MỸ COMPOSITE KHẮC PHỤC MÒN RĂNG HIỆU QUẢ
??Mòn răng không chỉ xuất hiện ở cổ răng mà còn ở vùng mặt nhai của răng hàm và gây ra nhiều tác hại: - Gây ê buốt kéo dài, khó chịu khi ăn thức ăn nóng -...
Phụ nữ giống như một cuốn truyện! Nếu trang bìa không hấp dẫn thì sẽ chẳng ai muốn lật những trang tiếp theo
Người phụ nữ đẹp về nhân cách, thông minh giỏi giang thôi thì chưa đủ mà ngoại hình chính là điều quyết định người khác có muốn tìm hiểu sự thông minh và nhân...





